Thrower's elbow

Mitsutoshi Hayashi
Mitsutoshi Hayashi
Doctor of Medicine, specialist in the Japanese Society of Rehabilitation Medicine, specialist in the Japanese Society of Orthopaedic Surgery, specialist in the Japanese Society of Rheumatology, staff to strengthen JOC, and sports physician certified by the Japan Sports Association
Doctor's Edition
Thrower’s elbow is common among more than the level of school baseball, occurring mostly in pitchers.
Disease Overview
Thrower’s elbow is a typical sports disorder of the elbow caused by excessive throwing and overuse, which is common among baseball pitchers in the junior period. Bone damage occurs during growth, not only with elbow pain, but also with bone deformities that may cause problems in the future.
Cause and mechanism of onset
Disease concept
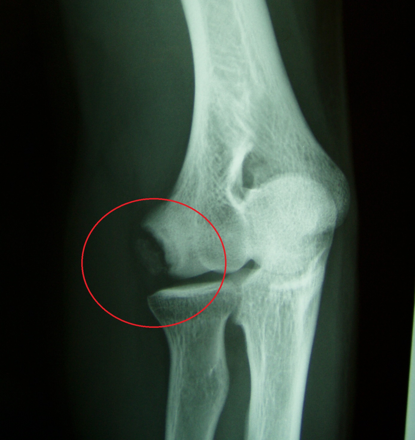
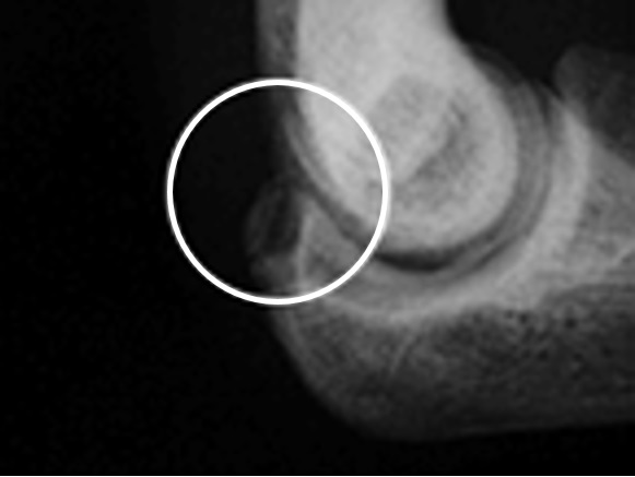
Thrower’s elbow is a sports disorder that is caused by baseball throwing, particularly overuse, which occurs in growing pitchers, and is mainly characterized by throwing pain in the throwing elbow of the medial side (Fig. 1), the outer side (Photo 1), and the elbow head (Photo 2). Symptoms often develop gradually and become chronic, so attention should be paid to elbow pain. The acceleration phase (acceleration) of throwing movements takes place in elbow flexion, valgus, and forearm supination. In the medial type, traction is exerted by the pronator flexor in throwing on the inside of the elbow, stretching the pronator muscles, the medial collateral ligaments, and the ulnar nerve, causing micro-damage inside the elbow. In severe cases, the medial epicondyle of the humerus develops avulsion fractures due to traction. In the lateral type, pressure is applied to the capitulum of the humerus and radius on the lateral side of the elbow, resulting in osteochondritis dissecans, with bone necrosis, defects, and loose bodies. The posterior type is in an elbow extension position during deceleration (follow-through), and traction forces are applied to the olecranon of the ulna, resulting in changes such as avulsion and stress fractures.

Figure 1 Medial type: Diastasis of the medial epicondyle of the humerus

Photo 1 Lateral type: free bone in the capitulum of the humerus

Photo 2 Olecranon type: olecranon of the ulna showing bony dehiscence

Photo 3 Medial: Swelling of the medial part of the right elbow is prominent
Diagnosis
Symptoms
In the medial type, tenderness on the inside of the elbow, swelling (Photo 3), elbow pain during throwing, limited range of motion of the elbow, and sometimes numbness on the side of the little finger develop. The lateral type may present with lateral elbow pain, as well as locking symptoms. The posterior type presents with posterior elbow tenderness, throwing pain, and locking symptoms.
Diagnosis
These symptoms can be accompanied by bony changes on X-ray. In the medial type, bone thickening of the medial epicondyle of the humerus, epiphyseal line separation, and free bone in the pronator region are observed; in the lateral type, bone deformation, defect, and a free bone fragment of the capitulum of the humerus and head of the radius are observed; and in the posterior type, fissure fracture and stress fracture of the olecranon of the ulna are observed.
Common sports
Overhead throw sports, such as baseball, tennis (serve), American football (QB), and javelin throwing are popular sports.
Sports level
It is more common among players more than the level of Little League and Junior High School level, most of whom are throwers. It also occurs in the catchers.
Age predilection
It most commonly affects boys between the ages of 10 and 16, with the most common sites on the inside, outside, and back of the throwing elbow, as described above.
Treatment and rehabilitation
Treatments
It most commonly affects boys between the ages of 10 and 16, with the most common sites on the inside, outside, and back of the throwing elbow, as described above.
Precaution
If throwing is not stopped early with the onset of pain, bone changes may result, and the person may be forced to stop throwing for months or years. However, running and batting are possible, and a change in position should be considered. Because of growth, severe injuries to the epiphyseal line can result in a valgus (lateral type) or varus (medial type) deformity of the elbow.

Hitoshi Takahashi
Hitoshi Takahashi
Associate Professor, the Department of Regional Medicine, Teikyo Heisei University
A certified athletic trainer from the Japan Sport Association, a practitioner of acupuncture and a massage practitioner
Trainer’s Edition
Prevention
Introduction
Thrower’s elbow is a sports disorder that often occurs in growing pitchers. It can be prevented because it is caused by overuse (throwing). Preventive measures are centered on orthopedic medical checkups for physical characteristics and daily conditioning. This section focuses on the details of orthopedic medical checkups.
Orthopedic Medical Check
Orthopedic medical checkups are tend to be expected as a major operation but they are easy to perform. The following is a checklist that the instructor need to perform on-site in order to understand the physical condition of the player. Periodic medical checkups allow early detection of disabilities. Athletes with problems should be instructed to see a sports doctor immediately.
History
Investigate past injuries and disorders. The degree is based how much the person needs to rest or restrict exercises. The doctor's diagnosis, the location of the pain, and the course of the disease are also investigated. Daily conditioning is particularly important for athletes with a history.
On-site evaluation and first aid
Tenderness checks (photos 1-7)
You suspect a disorder when tenderness is present on the inside, outside, or behind the elbow. Because thrower’s elbow progresses from medial to lateral, lateral tenderness may be severe. The person is instructed to see a sports doctor immediately.

Method of checking
Positions of the medial and lateral epicondyles of the humerus and the condyle of the elbow: When the elbow joint is extended, the condyle of the elbow, medial epicondyle, and lateral epicondyle are aligned in a row. In the photograph, the examiner's thumb touches the lateral epicondyle, the index finger the condyle of the elbow, and the middle finger the medial epicondyle (the subject's elbow is right).
Sites to check for medial tenderness (in parentheses are typical expected disorders. Elbow of the subject are on the left)

Photo 2 Medial epicondyle of the humerus

Photo 3 Humerus: How to palpate the medial epicondyle (Little League Elbow)

Photo 4 Peripheral to the origin of the flexor group (medial epicondylitis)

Photo 5 Medial collateral ligament: Push the front of the inferior end of the medial epicondyle (medial collateral ligament injury)
Area to check for lateral tenderness

Photo 6 Check for lateral humeral tenderness with elbow flexion (osteochondritis dissecans)
Area to check for posterior tenderness

Photo 7 Olecranon fossa: Slight flexion of the olecranon joint to check for tenderness at the olecranon and olecranon fossa (olecranon epiphysitis)
Range of motion check (Photos 8-11)
Any problems with the elbow can result in a limited range of motion. Check extension and flexion movements. In addition, traction stress on the wrist flexors causes medial pain, and traction stress on the extensors causes lateral pain. Also check for limited range of motion in wrist flexion (plantar flexion) and wrist extension (dorsiflexion). The range of motion is about 90 degrees.
How to check range of motion

Photo 8 Elbow extension: Extend the elbow in front of the chest. Check for extension restriction while comparing left and right sides.

Photo 9 Elbow flexion: Check whether the elbow can touch on the shoulder with the elbow on the side of the body.

Photo 10 Wrist extension: Check for extension limitation and stretching pain while comparing left and right sides.

Photo 11 Wrist flexion: Check for flexion limitation and stretching pain while comparing left and right sides.
Reconditioning
Daily conditioning
Stretching
Stretching before and after exercise is very important in preventing all disabilities. Shoulder and elbow stretching should always be done. Because pitching is a general exercise, the hip joint and trunk must be flexible. In the elbow joint, stretching points for the forearm flexors and extensors are identified.
Icing
Icing after pitching is also effective.
Establishment of rules for throwing restrictions
Preventing too much throwing is the most effective preventive measure for growing bones that are soft. However, there are no clear criteria that "further throwing will cause disability" or "below this will be safe." Therefore, it is recommended that the team decide rules such as the number of throws and prohibit continuous throwing. This section presents the suggestions of sports doctors for baseball disorders. Please refer to this document.
Enjoying sports is necessary for the development of a healthy mind and body in young people. Baseball is one of the most popular sports in our country, and the following suggestions are made for prevention, because inappropriate practice at the age when the bones and joints are growing may cause serious failures.
1. The incidence of thrower’s elbow peaks at ages 11 and 12. Baseball instructors should therefore pay particular attention to pain and movement limitations of the elbows of athletes in this age group. The occurrence of baseball shoulder peaks at ages 15 and 16 years, and attention should be paid to shoulder pain and changes in throwing form.
2. The incidence of thrower’s elbow and baseball shoulder is overwhelmingly high for pitchers and catchers. Therefore, it is desirable for each team to have at least two pitchers and catchers, respectively.
3. The number of days and hours of practice should not exceed 2 hours per day within 3 days per week for elementary school students. For junior and senior high school students, take one or more days of rest per week. Exercise volume and content according to individual player growth, fitness, and skills are desirable.
4. The total number of throws should not exceed 50 balls per day for elementary school children and 200 balls per week including matches. In junior high school students, they should not exceed 70 balls per day and 350 balls per week. High school students should not exceed 100 balls per day and 500 balls per week. Playing two games a day should be prohibited.
5. Adequate warm-up and cool-down should be performed before and after practice.
6. It is desirable to have an off-season to provide an opportunity to enjoy sports other than baseball.
7. Since failure of the elbow and shoulder in baseball may cause severe sequelae in the future, periodic medical examinations by a medical specialist under close cooperation with the team leader are desirable for prevention.
Scientific Committee of the Japanese Society of Clinical Sports Medicine
Recommendations for Baseball Disorders in Adolescents
From the Japanese Society of Clinical Sports Medicine, Orthopaedic Surgery, Guideline for the Prevention of Baseball Disorders, Bunkodo, 1998.
