Metatarsal Stress Fracture

Mitsutoshi Hayashi
Mitsutoshi Hayashi
Doctor of Medicine, specialist in the Japanese Society of Rehabilitation Medicine, specialist in the Japanese Society of Orthopaedic Surgery, specialist in the Japanese Society of Rheumatology, staff to strengthen JOC, and sports physician certified by the Japan Sports Association
Doctor's Edition
Cause and mechanism of onset
Metatarsal stress fractures are foot sports injuries caused by excessive weight-bearing due to running or jumping, resulting from overuse caused by repeated loads to the foot arch for a long time (Fig. 1). As with metal fatigue (bending of metal plates), repeated weight-bearing on the metatarsals (foot arches) lead metatarsal stress fracture which is often overlooked differing from bone fractures.
Keywords: growing athletes; overuse; running
Figure 1 The ankle arch, like a spring, acts as a shock absorber, and cracks occur when repetitive impact is applied by running or jumping.
Figure 2 Repeated flexion and extension movements, as in metal fatigue, cause a fracture.
Diagnosis
Diagnosis
Typically, pain, warmth, and swelling in the center of the dorsum of the foot are accompanied by bone callus formation (new bone) and bone sclerosis (white area on an X-ray) from a fracture. However, the X-ray may not be abnormal shortly after the onset of symptoms. If symptoms persist, repeat the examination 2 to 3 weeks later (because there are often no obvious lines of fracture). X-rays, bone scintigrams, and MRI are also helpful.
Common sports
Metatarsal stress fractures are more likely to occur in field or running sports, such as football, rugby, volleyball, marathon, or long-distance competition, but they also occur in basketball, kendo, and baseball.
Sports level
Muscle balance, loss of flexibility, and excessive training are common, ranging from top-level to general athletes.
Age predilection
The third metatarsal shaft accounts for half of the bones affected. The fifth metatarsal bone is called Jones fracture, and it mainly occurs in soccer and futsal recently, and it is comparatively intractable. There is no difference in occurrence between the left and right sides, and it accounts for about half of the stress fractures of the lower extremities.
Frequent site
The third metatarsal shaft accounts for half of the bones affected. The fifth metatarsal bone is called Jones fracture, and it mainly occurs in soccer and futsal recently, and it is comparatively intractable. There is no difference in occurrence between the left and right sides, and it accounts for about half of the stress fractures of the lower extremities.
Treatment and rehabilitation
Treatments
Load-bearing training, such as running, is prohibited for approximately 4 weeks, and icing in the painful area or non-weight bearing exercise such as crutches are required for severe pain during walking. Begin with non-weight-bearing exercises such as pool walking or exercise bike. For treatment during the training phase, see the Trainer’s Edition.
Precaution
Not enough rest leads to recurrence and refractory to treatment. To resume the exercise, you need to reconsider the training menu to avoid overwork. Stretching should also be used to increase the flexibility of the ankle and knee joints, particularly the hip joint, to reduce the burden on the foot from running.
Representative case
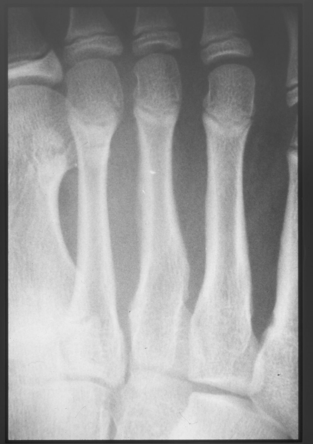
A 15-year-old male soccer player played three hours a day on weekdays, half a day on Saturdays, and a game on Sundays, almost every day of the week. Pain appeared in the dorsum of the right foot, but the patient still continued to practice, and the pain worsened 3 weeks later, so he came to the hospital. The first visit showed tenderness and movement pain in the mid-dorsum of the foot, which did interfere with play, but did not cause problems in daily life. An X-ray showed a callus in the shaft of the third metatarsal bone (Fig. 3).
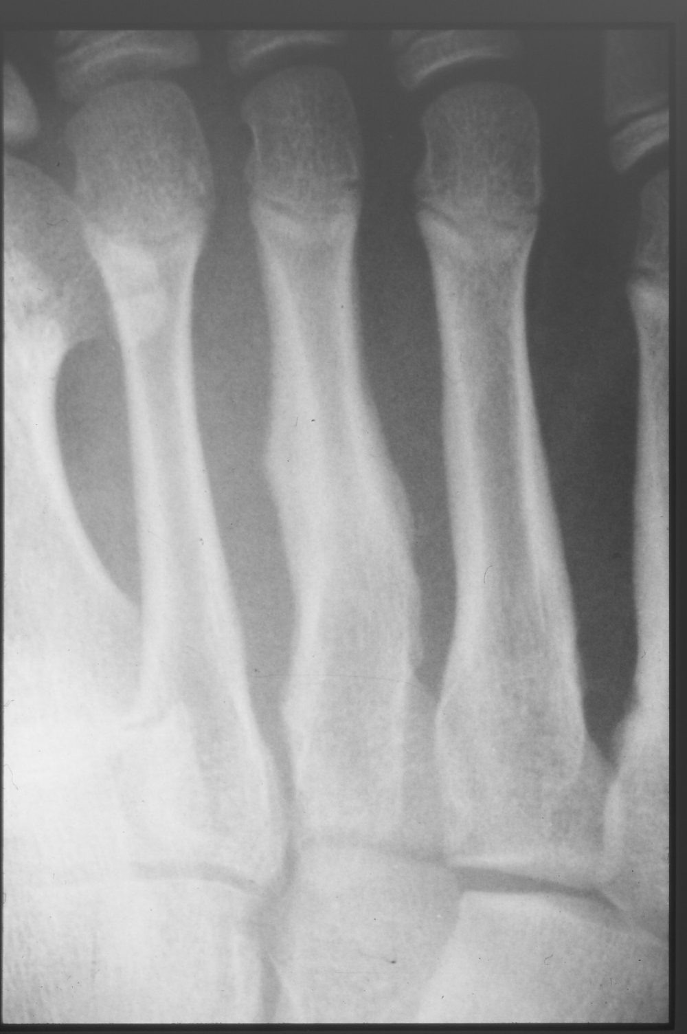
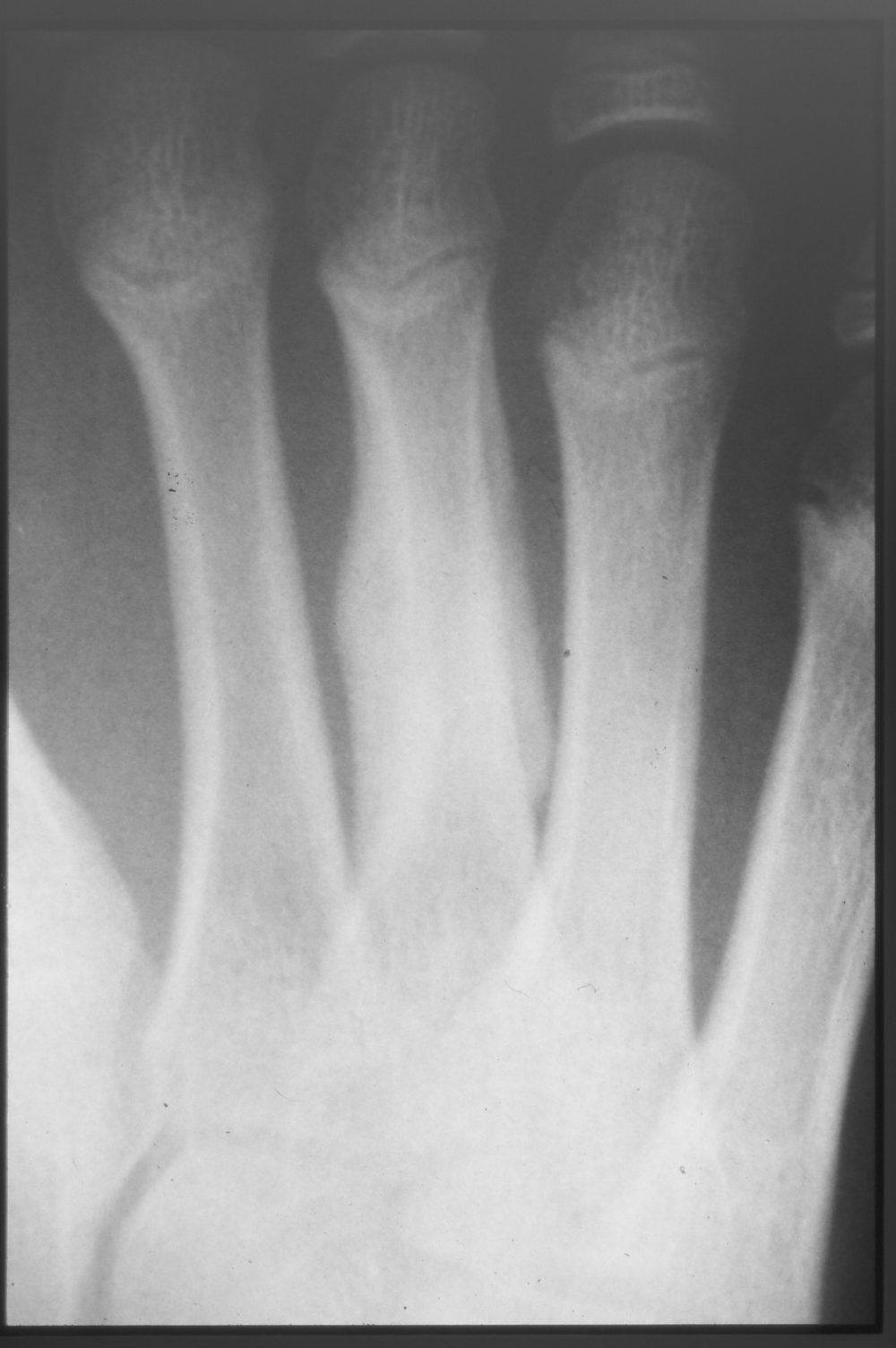
The symptom was relieved by rest from running for about 4 weeks. Play was gradually restarted from week 5, but complete recovery began at month 3. Bone formation was also good on X-ray at 3 weeks (Fig. 4) and 3 months (Fig. 5).

Figure 1 The ankle arch, like a spring, acts as a shock absorber, and cracks occur when repetitive impact is applied by running or jumping.

Figure 2 Repeated flexion and extension movements as well as metal fatigue cause

Figure 3: First visit
There is no obvious fracture line at the initial diagnosis, and there is slight callus formation in the third metatarsal shaft.

Figure 4 3 weeks after injury
Callus formation at the fracture site is accelerated at 3 weeks post-injury compared to initial presentation, but is still insufficient for resuming play.

Figure 5 Three months after injury
Three months after the injury, the diaphysis has bridging (reinforcement) formation of the callus on both sides of the metatarsal bone, and the transverse diameter is about twice as thick. Healing is sufficient to resume play.

Yoshizumi Iwasaki
Yoshizumi Iwasaki
NATA certified athletic trainers, certified athletic trainers from the Japan Physical Education Association, and chairman of the Japan Core Conditioning Association (JCCA)
Trainer's Edition
Prevention
The checkpoints and specific measures for prevention are as follows:
・ Accumulated fatigue
To prevent overuse problems, such as stress fractures, people must not accumulate fatigue.
Massage of the soles of the feet may help.
・ Characteristic of body shape
Because of the morphologic features of the foot, a person who is unable to absorb and escape weight impact across the sole and who is likely to be stressed many times at a point may be protected by an insole that fits the shape of the foot.
・ Motion characteristic
Correct any biomechanically stressed movements that may cause sports injuries as soon as possible.
・ Footwear
It is important to choose a shoe that matches the correct size and foot characteristics. Devising and researching the extent possible is essential, such as paying attention to mold paper and insoles.
・ Weight management
Rapid weight gain is also a factor, so it is important to pay attention to body weight.
On-site evaluation and first aid
The person is examined in a general hospital, where the person may be icing and imaging the area that is likely to be inflamed. People who are diagnosed with an obvious stress fracture should rest for a while. During treatment, depending on the severity of the pain, doctors may apply an anti-inflammatory analgesic, massage the soles of the feet, hot water baths, alternating baths, and ultrasonography as well as icing. Regarding the time of return, we had previously believed in self-reporting to determine the degree of healing and pain, but recent advances in medical technology have enabled us to understand the inside of the body through MRI and other methods. Protect the doctor's gogging and avoid flying.
Reconditioning
Continue extra-foot training during periods of severe pain that precludes foot placement. During this time, training on the painful foot is prescribed whenever possible.
Training on plantar flexion, dorsiflexion, pronation, supination, and toes may be sitting and may include picking up marbles and wearing toes.
People who walk on the ground are encouraged to take active weight-bearing exercises. Common training with the entire sole on the ground begins with placing weight bearing on the foot in a secondary stimulus.
Next, the person goes through steps such as walking on the heels, toe, and walking quickly to shuffling and jogging. In a conditioning program, it is important to gradually apply the load. Don't be able to do any strenuous training by doing the discovery car.

To prevent recurrence, all of the prevention items mentioned above are checked again to determine if there were any problems. Exercise by the instructor and reduction in the amount of training are also key, but weight control is important. The return to competition test is OK if tests such as one-leg hops, running, turning, and characteristic movements of the species are cleared. Taping as a recurrence prevention measure may also be effective.
